Донецкие хирурги успешно прооперировали подростка, пострадавшего от взрыва неизвестного предмета, сброшенного с БПЛА

Донецкие хирурги успешно прооперировали подростка, пострадавшего от взрыва неизвестного предмета, сброшенного с БПЛАВ Республиканский травматологический центр был доставлен подросток 2005 года рождени

Донецкие хирурги успешно прооперировали подростка, пострадавшего от взрыва неизвестного предмета, сброшенного с БПЛА

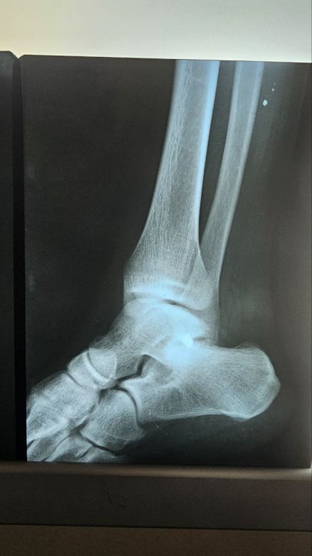
В Республиканский травматологический центр был доставлен подросток 2005 года рождения, пострадавший от взрыва неизвестного предмета, сброшенного с БПЛА.

Прибывшая бригада скорой медицинской помощи госпитализировала юношу с несколькими травмами. Врачи поставили диагноз минно-взрывная травма, осколочное ранение головы, осколочное ранение нижней трети правой голени с повреждением ахиллова сухожилия, открытый краевой перелом правой таранной кости и обнаружили инородное тело (осколок), застрявшее в области правого голеностопного сустава.

Хирургическая обработка раны головы была выполнена, при этом удалены осколки, находившиеся подкожно. Также произведена обработка ран голени и голеностопного сустава, удаление нежизнеспособных тканей и шов ахиллова сухожилия.

Евгений Жилицын, заведующий травматолого-ортопедическим отделением для детей в Республиканском травматологическом центре, рассказал о хирургическом вмешательстве, проведенном вместе с командой врачей детского отделения. Врачи использовали УЗИ навигацию для обнаружения и удаления ржавого осколка. Голеностопный сустав был раздренирован, а затем наложена гипсовая повязка. В результате операции подросток был переведен в детское отделение для дальнейшего лечения.

Он также отметил, что удаление ржавого осколка было критически важным шагом, поскольку иначе у подростка могла развиться гнойный артрит голеностопного сустава.

Это состояние серьезно усложнило бы жизнь пациента и могло привести к инвалидности, так как таранная кость была вовлечена в процесс и стала причиной больших проблем.

Источник:

Минздрав России

Последние новости

Как банки заманивают клиентов: психологические трюки в рекламе займов

Какие уловки используют маркетологи, чтобы мы брали кредиты, даже когда не планировали этого

Почему свечи остаются главным атрибутом ритуалов на протяжении тысячелетий

Теплый свет пламени как символ памяти, надежды и духовной силы

Как понять, что пора покупать доллары, даже если ты не экономист

Для тех, кто считает, что аксессуар должен заявлять о себе — валюта в кошельке тоже может быть элементом стиля и стратегии.

Когда скидки превращаются в ловушку: как маркетологи учат нас тратить

Почему “-50% только сегодня” не всегда значит выгоду, как скидки играют на эмоциях и почему даже рациональные люди становятся жертвами маркетинговых трюков.

Здесь вы найдете свежие и актуальные новости в Южно-Сахалинске, охватывающие все важные события в городе

Комментарии (0)

Добавить комментарий

Ваш email не публикуется. Обязательные поля отмечены *